Pet Owner Information
Osteoarthritis (OA)
What is osteoarthritis?
Osteoarthritis is defined as aberrant degradation and attempts at repair of articular cartilage (the cartilage that lines joint surfaces). This is characterised by loss of cartilage, osteophyte formation (abnormal new bone around the joint) and joint inflammation. Osteoarthritis is termed secondary in most cases, which means that it is a symptom of an identifiable underlying disease process (e.g. cruciate ligament disease, hip dysplasia, elbow dysplasia or old injuries to the joint). Cats are also prone to primary OA where an underlying disease is not identified, and arthritis develops in an otherwise normal joint.
Development of osteoarthritis
Development of osteoarthritis (OA) in pets is based on an individual animals’ inherent susceptibility to OA based on predisposing factors combined with local joint factors.
Predisposing factors
• Genetics
• Age
• Systemic factors (e.g. obesity or metabolic diseases)
Local joint factors
• Local joint factors
• Injury
• Instability (e.g. cruciate ligament disease)
• Overload
• Developmental abnormalities (e.g. hip dysplasia or elbow dysplasia)
Overall, this means that in most cases OA develops because of overloading or injuring normal joints, or through normal loading of abnormal joints. Many of these factors are out of our control; however, it has been shown that obesity is a key determinant of the development and progression of OA in dogs and, as such, maintaining a lean bodyweight can help prevent the development of OA in your pets.
Clinical signs of osteoarthritis
The hallmark clinical signs of OA in dogs are stiffness after rest that they tend to ‘warm’ out of, lameness and exercise intolerance. The clinical signs in cats are more subtle and include reduced grooming behaviours, which may result in matted hair, reduced willingness to jump and subtle reduction in activity levels.
It is important to note that OA is secondary to an underlying disease in most cases and the clinical signs will therefore reflect the underlying process. For example, a dog with cranial cruciate ligament disease will have moderate to severe lameness in the affected limb, or dogs with hip dysplasia may have characteristic gait changes such as bunny-hopping and a reluctance to stand for long periods.
Diagnosis of osteoarthritis
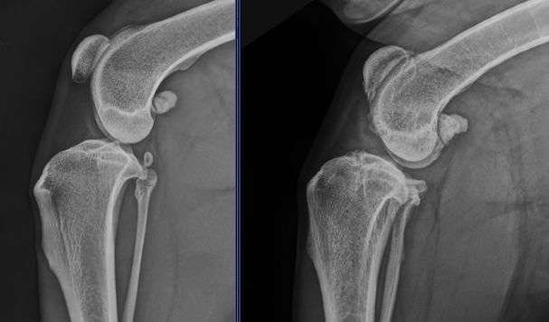
A diagnosis of OA is generally made following diagnosis of the underlying condition. In many cases we can identify the lame leg(s) and localise lameness or pain to the affected joint(s) by watching your pet walk during the consultation and a thorough orthopaedic examination. Radiographs (x-rays) can often diagnose the underlying cause of OA and allow planning of any specific treatment options (e.g. surgical management of cruciate ligament disease).

Stifle (knee) radiographs of a normal dog (left) and a dog with osteoarthritis (right). The arthritic stifle has irregular new bone formation at the margins of the joint.
Computed tomography (CT) will be recommended in some cases to diagnose the underlying causes for OA such as elbow dysplasia and some juvenile cartilage disorders. Rarely, we will also recommend joint fluid analysis, which involves placing a small needle into the affected joint(s) under sedation and submitting this for assessment.
Management of osteoarthritis
The first consideration in managing OA is identifying and treating any underlying causes that are present. Surgical treatment of specific causes of OA including cranial cruciate ligament disease, medial patellar luxation, some forms of elbow dysplasia and some cases of hip dysplasia may be required. In other cases, a specific treatment for the underlying cause is not possible or warranted and conservative management of both the underlying cause and subsequent OA will be indicated.
There is no cure for OA; however, with a multimodal life-long approach most animals with OA can achieve excellent quality of life. The basis of OA management in all cases is WET therapy, which stands for: weight control, exercise moderation and treatment (non-steroidal anti-inflammatory drugs, nutritional support and disease modifying agents).
Weight control
• This is essential and is the most important and impactful aspect of OA management.
• Having a lean body condition score will mean that your pet puts less weight through arthritic joints, which will preserve mobility.
• Fat tissue is also pro-inflammatory i.e. it makes the inflammation associated with arthritis worse so by reducing percentage body fat, we can directly reduce inflammation associated with OA.
Exercise moderation
• Animals with OA should perform regular moderate exercise such as lead exercise, or gentle off-lead activity in the case of dogs. Cats should be transitioned to an indoor lifestyle if possible.
• Regular moderate exercise helps to maintain a lean body condition and preserve muscle mass
• Arthritic animals should be considered “golf players” rather than “football players”.
• Excessive exercise such as sprint work, chasing a ball, running in soft sand or excessive play with other animals may exacerbate the clinical signs of OA and will increase the requirement for medical management strategies.
Treatment
• Non-steroidal anti-inflammatory drugs (NSAIDs) are the cornerstone of medical management of OA. They provide excellent pain relief and reduce inflammation associated with OA. They are a very safe class of medication, with infrequent side effects. Animals with OA may require intermittent NSAIDs following excessive exercise or they may require regular medications to help preserve quality of life. In any animal that is requiring frequent NSAID administration, it is recommended that blood tests be performed every 6-12 months.
• Other pain relief: There are multiple other pain relief options that can be added for the medical management of OA if NSAIDs alone are insufficient.
• Nutrition
-
- Omega-3 fatty acids such as fish oils have anti-inflammatory effects and may improve cartilage health and reduce lameness in dogs with OA.
- There is little clinical evidence to support other strategies of nutritional management such as chondroitin sulfate, glucosamine sulfate and glucosamine hydrochloride; however, they are unlikely to do harm so addition as part of a multimodal OA management strategy may be considered.
• Disease modifying agents
-
- Pentosan polysulfate (Zydax) – these are injections that are administered at regular intervals and may reduce articular cartilage degeneration.
- Monoclonal antibody therapy (Beransa) – these are monthly antibody injections against nerve growth factor, which plays a role in the pain of OA. There are some important side effects to be aware of with this medication, and in most cases, this should be reserved as a last line therapy for the management of OA that is refractory to the treatment options listed above.