Call Bunbury Vet Clinic
(08) 9721 5999
Call Eaton Vet Clinic
(08) 9725 0399
SW Vet Specialist Surgery
Latest Articles
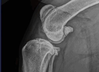
Osteoarthritis
Osteoarthritis is a common cause of lameness and reduced mobility in our pets.
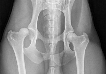
Medial Patellar Luxation
Medial patellar luxation (MPL) is a dislocation of the kneecap (patella) toward the inside aspect of the leg.
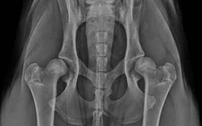
Tibial Plateau Leveling Osteotomy (TPLO)
Cruciate ligament disease is one of the most common causes of hindlimb lameness in dogs.



