Pet Owner Information
Tibial Plateau Leveling Osteotomy (TPLO)
Canine Cranial Cruciate Ligament Disease
Cruciate ligament disease is one of the most common causes of hindlimb lameness in dogs and occurs due to gradual deterioration of the cranial cruciate ligament. A diseased cruciate ligament can be thought of like a fraying rope that progressively becomes weaker, then completely ruptures when the last fibres snap (this generally occurs with normal activity such as running on the beach or jumping off the couch). The most common signs that you will observe if your dog has cruciate ligament disease are intermittent mild to moderate limping in the “fraying” stage, and persistent moderate to severe limping once the ligament completely ruptures.
Cruciate ligament disease occurs due to the anatomy of the stifle joint (knee) in dogs. The main function of the cruciate ligament in dogs is to prevent sliding between the tibia bone (shin) and femur bone (thigh). In a normal dog’s stifle, the top of the tibia is sloped backward ~25°, which means there is a natural tendency for the femur bone to slide down this slope when a dog bears weight, which pushes the tibia forward (so-called cranial tibial thrust). This sliding motion is prevented by a normal cruciate ligament; however, this means that the ligament is under load with every step that a dog takes and is one of the main contributing factors to the development of cruciate disease. Once the ligament has ruptured this sliding motion is unconstrained which results in instability, inflammation, pain and progression of osteoarthritis. Stifle instability predisposes other structures within the joint to damage, specifically the medial meniscus, which is a cartilage pad that normally functions to distribute load and improve joint congruency.
Cruciate disease is commonly bilateral (affecting both sides) because of the anatomic basis of the disease. Assessment of both stifles at the time of surgery is commonly performed.
TPLO Procedure
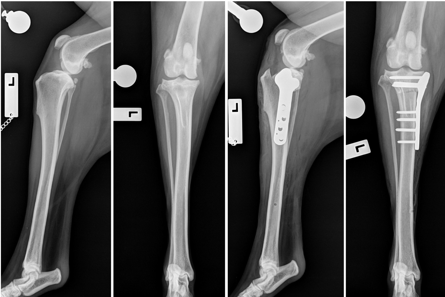
We perform the TPLO procedure for the management of cranial cruciate ligament disease. Preoperative radiographs are performed for surgical planning purposes so that we can select the appropriately sized instruments and implants. During surgery the joint is inspected, and the status of the cruciate ligament and medial meniscus are assessed. If the meniscus is torn, then removal of the torn part of the meniscus is performed to reduce pain.
Following joint inspection, a radial (circular-shaped) osteotomy is performed in the tibia and the bone fragment is rotated to flatten the slope of the tibia to ~5°. This eliminates the sliding movement between the tibia and femur and effectively stabilises the joint. Finally, a bone plate is applied to secure the bone fragments to allow bone healing.
TPLO procedure: pre- (left) and postoperative radiographs (right)
Aftercare Requirements
Following surgery most dogs will have a moderate to severe lameness for the first week or so, which should steadily improve in the postoperative period. It is uncommon for dogs to be progressing well in the postoperative period and then suddenly deteriorate. This would be an indication to have your pet reassessed.
Following surgery, all dogs require 10 weeks of strict confinement. During this period dogs must be kept to a walking pace, with all running, jumping and boisterous activity avoided. Dogs should be confined to a part of the house with non-slip flooring and no access to furniture. They should be taken outside for toileting purposes 3-4 times daily on lead.
During their recovery, we implement a graduated lead exercise program that is commenced approximately two weeks postoperatively. This involves short, controlled lead walks twice a day which become incrementally longer until the 10-week postoperative assessment. Detailed written aftercare instructions will be provided at the time of surgical discharge outlining this process.
All dogs should undergo radiographs (x-rays) 10 weeks postoperatively to assess bone healing prior to returning to normal activity. If evidence of bilateral disease was detected at the time of initial assessment, then consideration can be given to operating the other side at this time.
Outcome
The outcome following TPLO is generally excellent. We expect ~95% of dogs to return to ~95% of their original function following surgery.
An important consideration is the development of osteoarthritis. This is the progression of inflammation within a joint and occurs because of any insult to a joint (such as cruciate ligament disease). We cannot reverse pre-existing osteoarthritis, and even though TPLO has been shown to limit the radiographic progression of osteoarthritis, we cannot completely halt this progression.
An important aspect of postoperative care for dogs with cranial cruciate ligament disease is therefore ongoing osteoarthritis management. The main features of this management are maintaining a healthy body condition score, exercise moderation to limit excessive high-impact activity (where possible), and in some cases, medications such as non-steroidal anti-inflammatory drugs.
Complications
TPLO is a reliable surgical procedure with excellent outcomes in most cases. Despite this, no surgery is completely without complication, and it is important to understand some of the main potential risks of TPLO surgery:
- Infection is reported in ~5% of cases and can result in swelling, lameness, pain and discharge from the surgery site. Infection can be resistant to medical therapy whilst bone plates and screws are still present and most cases will require implant removal once the bone has healed. Removal of the surgical implants following bone healing does not undo surgery and the long-term outcome is still expected to be excellent; however, it does require a second surgical procedure
- Late meniscal injury is reported in ~4% of cases where the medial meniscus was intact at the time of initial surgery. If this were to occur, you would notice worsening lameness. In these cases, a second surgical procedure to assess the meniscus and “clean up” the damaged portion would be recommended.
- Implant failure or bone fracture are very rarely reported following surgery; however, would represent a significant complication that would require additional investigation and surgery.
If you are concerned about the way your pet is progressing following a TPLO procedure, please contact us and we can organise a recheck appointment at your convenience.

