Bunbury + Eaton Vet Clinic
  • Home
  • About Us
    • Employment Opportunities
    • Meet the Team
    • Services and Facilities
    • New Pet Advice
  • Services
    • Food Request Form
    • Medication Request Form
    • Emergency Care
    • Blood Testing
    • Desexing
    • Diet & Weight Management
    • Health Checks
    • Microchipping
    • Parasite Protection
    • Vaccinations
    • Charity and Wildlife Work
    • Puppy Preschool
  • Healthy Pets Club
  • Latest Articles
  • Contact Us
  • Prices
  • BOOK ONLINE
Select Page
Osteoarthritis

Osteoarthritis

by BEVets-Josie | Nov 3, 2025 | Surgical Information

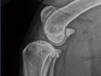
Back to Surgery Information Pet Owner Information Osteoarthritis (OA) What is osteoarthritis? Osteoarthritis is defined as aberrant degradation and attempts at repair of articular cartilage (the cartilage that lines joint surfaces). This is characterised by loss of...

Explore the Archives


Recent Posts

  • Osteoarthritis
  • Medial Patellar Luxation
  • Tibial Plateau Leveling Osteotomy (TPLO)
  • The 25/30 test
  • How to reduce the risk of GDV/Bloat in dogs.

Archives

  • November 2025
  • June 2025
  • March 2024
  • February 2024
  • June 2023
  • May 2023
  • March 2023
  • October 2021
  • April 2021
  • December 2020
  • October 2020
  • September 2020
  • August 2020
  • June 2020
  • April 2020
  • March 2020
  • February 2020
  • January 2020
  • December 2019
  • September 2019
  • August 2019
  • June 2019
  • April 2019
  • March 2019
  • December 2018
  • November 2018
  • October 2018
  • August 2018
  • June 2018
  • May 2018
  • April 2018
  • February 2018
  • January 2018
  • December 2017
  • November 2017
  • August 2017
  • June 2017
  • May 2017
  • April 2017
  • March 2017
  • February 2017
  • January 2017
  • December 2016
  • November 2016
  • October 2016
  • September 2016
  • August 2016
  • July 2016
  • June 2016
  • May 2016
  • April 2016
  • October 2014
  • September 2014
  • August 2014
  • July 2014
  • June 2014
  • May 2014

BUNBURY VET CLINIC

183 Blair Street, Bunbury WA 6230

(08) 9721 5999

bunburyvet@bunburyvets.com.au

Opening Hours

Mon to Fri: 8am-6pm
Sat: 8am-12pm
Sun: Closed

EATON VET CLINIC

6 Cassowary Bend, Eaton WA 6232
(08) 9725 0399

eatonvet@eatonvets.com.au

Opening Hours

Mon to Fri: 8am-6pm
Sat: Closed
Sun: Closed

On Call Emergency Service available Weeknights.

We welcome all pets from the Bunbury and Eaton communities and surrounding suburbs, including Australind, Carey Park, Collie, East Bunbury, Glen Iris, Millbridge, Pelican Point, Picton, South Bunbury, and Treendale.