by BEVets-Josie | Apr 9, 2026 | Surgical Information
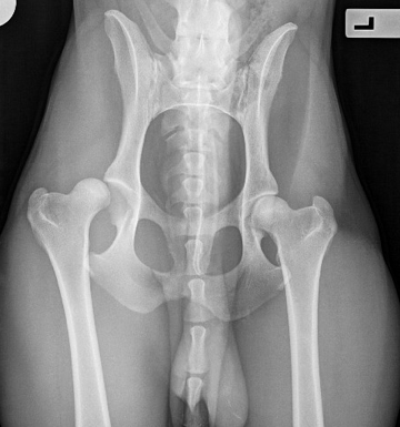
Back to Surgery Information Pet Owner Information Hip Dysplasia What is Hip Dysplasia? Hip dysplasia is laxity and incongruence of the “ball and socket” hip joint that results in joint inflammation, pain and the development of osteoarthritis. Hip dysplasia is...
by BEVets-Josie | Apr 9, 2026 | Surgical Information
Back to Surgery Information Pet Owner Information Hip Luxation What is Hip Luxation? Hip luxation occurs when the femoral head or “ball” of the “ball-and-socket” joint comes out of the acetabulum or “socket”. In most cases, hip luxation is caused by major trauma, such...
by BEVets-Josie | Nov 3, 2025 | Surgical Information
Back to Surgery Information Pet Owner Information Osteoarthritis (OA) What is osteoarthritis? Osteoarthritis is defined as aberrant degradation and attempts at repair of articular cartilage (the cartilage that lines joint surfaces). This is characterised by loss of...
by BEVets-Josie | Jun 4, 2025 | Surgical Information
Back to Surgery Information Pet Owner Information Medial Patellar Luxation (MPL) What is Medial Patellar Luxation? Medial patellar luxation (MPL) is a dislocation of the kneecap (patella) toward the inside aspect of the leg. This is a developmental disease that occurs...
by petpack | Jun 4, 2025 | Surgical Information
Back to Surgery Information Pet Owner Information Tibial Plateau Leveling Osteotomy (TPLO) Canine Cranial Cruciate Ligament Disease Cruciate ligament disease is one of the most common causes of hindlimb lameness in dogs and occurs due to gradual deterioration of the...